亲爱的读者,你是不是也和我一样,对吃瓜这件事充满了好奇?夏天来了,西瓜、哈密瓜、香瓜……各种瓜果琳琅满目,让人忍不住想大快朵颐。但是,你知道吗?吃瓜可是有讲究的哦!今天,就让我来和你聊聊,吃瓜会不会对牙齿不好这个问题。
吃瓜的快乐,你值得拥有

夏天,是吃瓜的季节。想象在炎炎夏日,捧着一根冰凉的西瓜,一口咬下去,那清甜的汁水瞬间在嘴里爆发,是不是感觉整个人都清爽了许多?或者,来一块哈密瓜,那浓郁的果香和绵密的口感,简直让人欲罢不能。吃瓜的快乐,真的是无法用言语来形容的。
吃瓜对牙齿的影响,你了解多少?

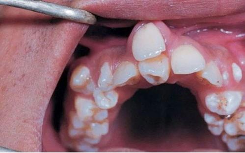
那么,问题来了,吃瓜对牙齿真的有影响吗?答案是肯定的。首先,我们要知道,瓜果中含有大量的糖分和酸性物质。这些物质在口腔中残留,容易导致牙齿腐蚀,引发蛀牙。
瓜果中的糖分,是牙齿的“天敌”

瓜果中的糖分,是牙齿的“天敌”。当我们吃瓜时,口腔中的细菌会利用这些糖分进行代谢,产生酸性物质。这些酸性物质会逐渐侵蚀牙齿的珐琅质,导致牙齿出现腐蚀现象。长期下去,牙齿就会变得脆弱,容易发生蛀牙。
瓜果中的酸性物质,让牙齿“酸”不堪言
除了糖分,瓜果中的酸性物质也是牙齿的“杀手”。比如,柠檬、橙子等柑橘类水果,它们的酸性物质含量较高,容易破坏牙齿的珐琅质。而吃瓜时,瓜果的汁液容易残留在牙齿缝隙中,使得牙齿长时间处于酸性环境中,从而加速牙齿腐蚀。
如何吃瓜,才能保护牙齿?
既然吃瓜对牙齿有影响,那么我们该如何吃瓜,才能既享受美味,又保护牙齿呢?
1. 吃瓜后及时漱口:吃瓜后,可以用清水漱口,将口腔中的瓜果残渣和酸性物质冲刷掉,减少对牙齿的侵蚀。
2. 避免睡前吃瓜:睡觉时,口腔的唾液分泌减少,不利于口腔自洁。因此,建议睡前不要吃瓜,以免口腔中的酸性物质长时间侵蚀牙齿。
3. 选择低糖瓜果:在吃瓜时,尽量选择低糖瓜果,如黄瓜、西红柿等,减少对牙齿的损害。
4. 定期检查牙齿:为了确保牙齿健康,建议定期到牙科医院进行检查,及时发现并处理牙齿问题。
5. 保持良好的口腔卫生习惯:每天早晚刷牙,使用牙线清理牙缝,保持口腔清洁,是保护牙齿的基础。
吃瓜虽然美味,但也要注意保护牙齿。只要我们掌握了正确的吃瓜方法,就能在享受美味的同时,呵护好自己的牙齿。亲爱的读者,你学会了吗?让我们一起,健康吃瓜,快乐过夏天吧!
